炎热潮湿的夏季,是耳朵问题的多发季节。夏季人体阳气旺盛,但暑湿季节也给“湿气”可乘之机,湿热之症多见,湿疹、过敏等皮肤问题突出。由外耳道湿疹、外耳道真菌等问题引起的耳痒症状日益增多。今天我们来聊聊和耳鼻喉有关的耳痒的那些事。
为什么耳朵总痒痒?
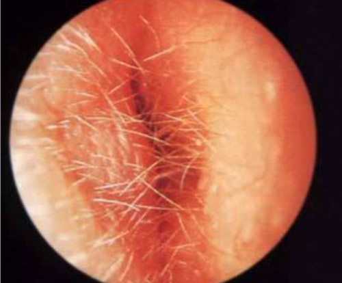
1、细菌、霉菌感染惹的祸
外耳道炎的致病菌多为金黄色葡萄球菌、溶血性链球菌或变形球菌、绿脓球菌。特别是多雨季节,游泳、泡澡、洗头后,耳道皮肤变得温暖潮湿,这给霉菌(又名真菌)提供了一个非常适宜的生长环境,就会出现类似于足癣的瘙痒感。

2、外耳道霉菌感染惹的祸
如果在感冒后出现耳朵痒的症状,那多半是由上呼吸道感染经咽鼓管途径引起的中耳炎。

3、不良习惯惹的祸
很多人总有点挖耳洞的强迫症或小洁癖,喜欢随时把打扫的干干净净的耳洞再掏上两下,不挖出一块两块的碎耳屎还特没有成就感。
这会导致耳道的皮肤变得愈加干燥,耳朵时常发痒,痒了再掏,掏完更痒,痒不欲生,如此恶性循环下去,越来越糟。金属的耳挖勺还可造成外耳道皮肤破损、出血,诱发外耳道炎的发生。

4、皮肤过敏惹的祸
在我们生活的环境中,有千千万万种物质(又称过敏原)会导致机体过敏,但每个人的过敏源都不一样,如海鲜、鸡蛋、粉尘、花粉、药物、毛屑、甲醛等,甚至有些人对纯净水、米饭都会产生过敏。
当个体的过敏症状出现时,外耳道就会发痒,止不住的想去挖一挖。

5、螨虫惹的祸
微观的世界里,我们的家中很多地方都会存在一定数量的螨虫,床单、被罩、枕巾、毛巾、衣物上,小小的螨虫肉眼看不到。它们属于一种微小节肢动物,也会在不知不觉中进入我们的耳洞,随即让我们的耳朵突发奇痒。
小小的螨虫进入耳道里,并不安分,它会不停的运动、爬行,将会刺激你的耳膜,导致你的耳朵异常的发痒,此时,你不能再忍,非要挖个干净,但却什么也挖不出来。

6、全身性疾病
比如糖尿病、皮肤干燥、慢性肾病等引起的瘙痒,尤其尿毒症引起的全身性的皮肤瘙痒,通常也会导致耳道奇痒。
可见真的不是手“寂寞”就想掏掏耳朵,是耳朵真的会莫名其妙发痒,误以为耳朵里有很多耳屎存在,挖也挖不干净。
耳屎本来也是无辜的,它主要由脱落的皮肤细胞、汗毛以及耵聍腺分泌物等组成。其偏酸性,具有润滑、清洁和保护耳道内膜的功能。可以很好的阻止水份进入、吸附灰尘,使昆虫、细菌、病原等不能通过耳道,从而保护鼓膜。同时具有一定的抗菌活性,保护耳道免受感染。
当我们觉得耳朵发痒时,首先需要排除外耳道的皮肤是否有发红、破裂等肉眼可见的“不正常”,如果出现外耳道炎则需及时就医了。
对于属过敏体质的朋友,如对海鲜、花粉、甲醛等过敏,要做好预防措施,避而远之;定期清洁家中的窗帘、床单、衣物等,避免螨虫入侵;在饮食上避免过度进食辛辣食物;减少泡澡,尽量保持外耳道干燥。
挖耳洞当成一种习惯的朋友,这里还是要提个醒,这不是一个好习惯,真的没那么多耳屎可挖,只会越挖越痒,甚至引起更加严重的问题。
